Finding a new dental office can often be a challenge. Fortunately, BestaDental in Rockville, Maryland can satisfy all your dental needs. We provide the following service:

Family & Pediatric Dentistry

You can feel comfortable and confident bringing the whole family to BestaDental. Our team of friendly experts goes above and beyond to make sure your little ones have an enjoyable visit and develop positive memories with us. We know that the experiences we have as children set the stage for our health and habits in the future, so we always make pediatric visits fun and enjoyable.

Your day to day oral hygiene routine is critical to your overall dental care, which is the reason we focus on prevention and education. When you come in for regular checkups, we’ll spend time catching up and discussing any concerns you have about your dental health. You’ll receive a cleaning and exam, and Rockville preventative dentist Dr. Tan will display digital scans of your teeth and gums to give you a tour of your dental health. You’ll leave our office with confidence and peace of mind that your smile has received expert care. 

Comprehensive exam and Teeth cleanings (also called prophylaxis, or “prophy”)

Many conditions can be detected at an early stage during your regular checkup and cleaning visits. Early detection and treatment will help you avoid potentially serious, painful and costly dental problems in the future. Keeping your teeth & gums clean is important, not just for oral hygiene but also for your overall health. Having a professional dental cleaning every six months is one of the best ways to prevent serious dental problems. 


Periodontal Care

When a simple cleaning is not sufficient to solve your gum problem (also known as periodontitis), you will need a deep cleaning (also known as scaling and root planning). Did you know that half of American adults have periodontal disease? Periodontal disease is a common, yet entirely preventable, dental health issue. During the treatment, Dentist will clean underneath your gums and remove any tartar or calculus. Combining with localized applied antibiotic-Arrestin and regular Perio Maintenance, we want to make sure your smile isn’t one that’s affected by periodontal disease.

Fluoride Treatments

Bacteria, sugars, and acid that linger in your mouth can harm tooth enamel and damage teeth. Topical fluoride treatments help protect your teeth from these harmful substances and can even reverse early signs of decay. Studies show that Fluoride is an important mineral for all age, especially children.

Dental Sealants​

This simple, painless treatment only takes a few minutes. But it could protect your teeth for years by keeping plaque and decay away. A thin, plastic coating will be applied to your teeth at deep grooves or pits, which are most susceptible area to cavity.  It is proven to be the most efficient methods to protect your child’s teeth. This treatment also help you maintain a beautiful, healthy smile.

Oral Cancer Screening

Oral cancer screenings can help detect the early stages of oral cancer. Do not ignore suspicious lumps or ulcers; any alteration of the appearance inside your mouth could be a warning sign. This is another reason to see a dentist regularly and have your mouth checked—your regular dental visit may actually save your life.

Mouth Guards and Night Guards

It is not just a piece of plastic to prevent grinding. A well fit night guard can prevent migraine pain and tension-type headache pain. By position your jaw slightly forward, it also can help sleep apnea.

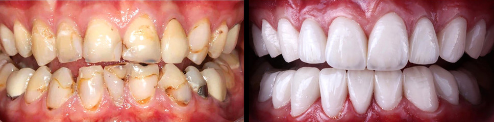
Cosmetic Dentistry

At BestaDental, we feel honored to see patients through their journey to a happier, more confident smile. Nothing makes us happier than getting to be a part of the emotional response after a patient sees their new smile for the first time. Whether your teeth are stained, chipped, misshapen, or unevenly spaced, we’ll listen to your needs and develop a treatment plan to correct unwanted imperfections.

Veneers

If you have concerns Chipped, discolored, uneven, or misaligned teeth, Veneers can cover up almost any cosmetic flaw and ensure that you have a bright, white, and beautiful smile. In order to fit veneers seamlessly and look natural, a very thin layer of enamel will be removed from any teeth that will be receiving veneers. Then your dentist will take multi impressions and pictures to design a perfect smile as you always wanted.  During the wait time, you will wear a set of temporary veneers until the final Veneers come back from dental lab. To keep your beautifully restored smile forever, we highly recommend your wear night guard to protect your investment.

Invisalign

If you look for a comfortable solution to align teeth that are crooked, overlapping or have gaps between them, invisalign can straighten teeth without braces. Your Invisalign treatment consists of a series of nearly invisible, removable aligners that you change every oneweek for the next set of aligners. Each aligner is custom designed just for your teeth. As you replace each aligner, your teeth will move – little by little, week by week – until they have straightened to the final position prescribed by your dentist.

Teeth Whitening

We offer wide variety of Teeth Whitening options for restoring your smile and your self-confidence. This treatment reverses tooth stains caused by the natural aging process, drinking dark beverages like coffee and tea, and improper oral hygiene habits. The complete procedure takes less than an hour, but a regular teeth cleaning is recommended prior to the actual teeth whitening session. For the popular Zoom in-office whitening, the procedure begins with a short preparation to cover the lips and gums, leaving the teeth exposed. Our dentist then applies the Zoom hydrogen peroxide whitening gel, which works together with the Zoom light to penetrate the teeth and break up the stains and discoloration. Afterwards, we do recommend you maintain an appropriate oral hygiene regimen to prevent stains from reforming, and see our dentist regularly for scheduled teeth cleanings.

Restorative Dentistry

If a damaged tooth is keeping you down, we can help with natural-looking, undetectable restorative options. We listen to your needs to determine the best treatment for your smile and your budget. Depending on the broken teeth condition, the treatment options may vary from filling, crown, bridge, denture to implants. We want to restore your smile like no damage happened to them before.

Dental Crowns and bridges

Dental crowns are “caps” that cover the entire surface of the tooth above the gum line, restoring and protecting damaged teeth. Dental bridges replace one or more missing teeth by capping two adjacent “abutment teeth” and connect them together. Super floss or water floss will be needed to clean under the bridge.

Removable Partial Dentures and Complete Dentures

Missing teeth can negatively affect your oral health and confidence, and interfere with your daily life. Dentures are typically more affordable than other replacement options, so if you are missing your teeth and you’re on a budget, dentures may be the best choice for you. Besides restoring your smile and your bite, allowing you to eat, speak and smile normally once again, partial dentures help prevent some of the complications associated with tooth loss, such as teeth shifting toward the empty socket where your missing tooth used to be. The limitation of denture is you do need to take off your denture before sleep and wash them well. Since they are majorly held into your mouth using friction, you cannot expect them function as natural teeth. For long term teeth replacement, implants and implant supported denture should be standard of care.

Implants

We know that missing teeth can cause emotional stress and lead to more dental health issues, and we’re here to help you navigate the process of choosing a replacement option. create a permanent, natural-looking prosthetic tooth that blends in with the rest of your smile.

The process starts with a consultation at BestaDental. After Dr. Tan examines your gums and jawbone to make sure you’re a good candidate for implants, we’ll connect you with a specialist who will surgically place a small titanium post into your gum line. Once this heals, Dr. Tan will attach it to a custom restoration that is built to blend in with the rest of your teeth and look completely natural. You’ll leave our office with a brand new smile.

One of the best things about dental implants is that they can last a lifetime with proper oral care. The durability of dental implants is a major advantage, and this means that you won’t need to make multiple costly visits to get them replaced. Since they are surgically inserted into your jawbone and they are made to mimic a tooth root, they look and feel completely natural. Call us today to hear more about what dental implants can do for you!

Emergency Dental Care

Your dental health is extremely important to us. In the event of an emergency, please call us at (240)580-8818 or visit us as soon as possible!

Dental emergencies usually occur swiftly, without warning, and can be extremely painful. If you’re not experiencing oral pain but still have a dental issue, such as a cracked tooth, broken dentures or a displaced filling, gum disease, you should still book your appointment today. Waiting or ignoring only make problems worse. For example, research shows periodontal problems can in fact elevate the risk for other health issues, including diabetes, hypertension and stroke.

Regardless of whether or not you are a regular patient of BestaDental, our experienced team members strive to provide same-day emergency relief right away. Please don’t hesitate to contact our office for your treatment!

Call Us Today for FREE Consultations

No Insurance? No Problem! At BestaDental, We Offer VIP Membership Plans To Get You Smiling Again!

Toothache : ( No worries! You just need pay 1 dollar for emergency visit if no insurance. At least you will know what’s the problem and have pain relief prescription if needed.

Are You Ready to Start Your Journey Towards a Brighter, More Beautiful Smile?

Call Us

(240) 580-8818
(240) 800-1108

Reach Us

15204 Omega Dr STE250
Rockville, MD 20850-1406

Open Hours

Mon- Fri 08:00-18:00 Saturday 08:00-15:00